“I used to be Sean 1.0, now I'm Sean 2.0,” explains the loving husband and father of two as he reflects on his diagnosis of frontotemporal dementia (FTD). Once the life of the party, Sean Durbin is finding his role in social settings shifting after learning he has the progressive brain disease that can affect behavior, speech and the ability to understand others.
“I love my family, and I used to always be in the middle of all the craziness that was going on with them, but there are times now I need to step back,” says Sean, 58, of Mentor, Ohio.
“Sean was the biggest extrovert, and he has started changing into an introvert a little bit. You kind of have to relearn this new version of him,” says Sean’s wife, Lisa Ihnat-Durbin.
Leading up to his diagnosis, Sean noticed subtle signs something was off. He found himself getting distracted more easily and struggling during conversations at times.
“I couldn't always get my words out the way I needed to, and I had never struggled with that before,” says Sean.
Lisa adds, “I wasn't necessarily picking up on anything obvious. He came to me and said, ‘I think something’s off, and I’m not sure what’s going on,’ so we talked about it.”
From communication challenges to behavioral changes, like leaving lights on, Sean began documenting his symptoms. He eventually brought these up to his doctor, and that’s when the journey to receive his diagnosis began.
“First, they thought it might be a sleep disorder, so we did a sleep study. Then they considered an autoimmune issue or something endocrine related – but nothing was conclusive,” says Lisa.
Sean was eventually referred to Cleveland Clinic neurologist Jagan Pillai, MD, who determined further investigation for FTD was needed. Based on the symptoms and testing, which included neuropsychological testing and an MRI, Dr. Pillai diagnosed Sean with FTD.

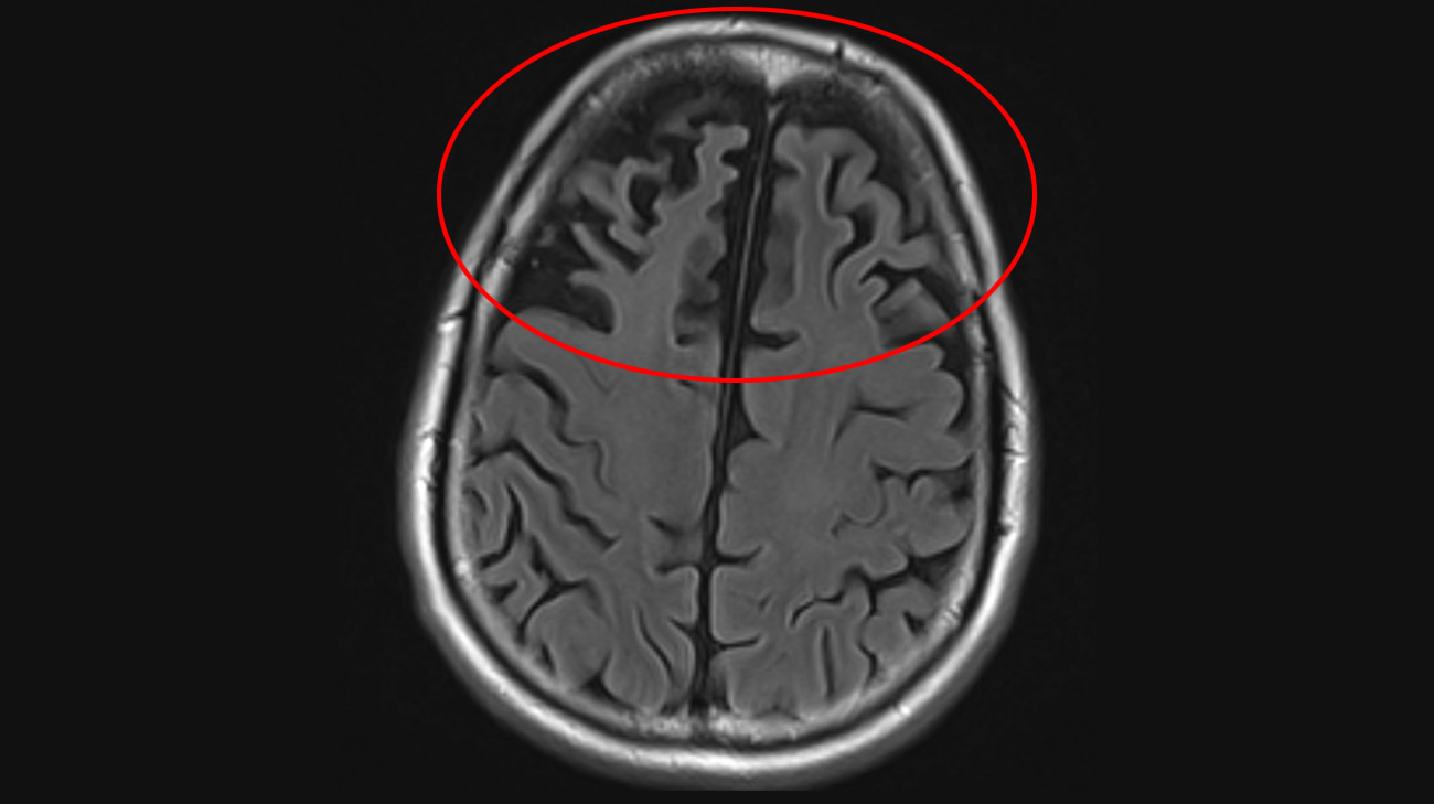
Sean's MRI showed frontal lobe atrophy, or shrinkage, a finding commonly associated with frontotemporal dementia (FTD). (Courtesy: Cleveland Clinic)
“I saw the picture of my MRI up on the screen, and it didn’t look good to me. I was shocked and didn’t really know what to think when he said it was FTD,” says Sean, recalling the day he was diagnosed with the disease at 57 years old in March 2024.
“Everything shut down after we got the news. I just looked at Dr. Pillai and said, ‘I don't know what to do. What do I do? What do we do?’ I was panicked, but Dr. Pillai talked us through it,” says Lisa, who adds they had heard about FTD when it became public that actor Bruce Willis has the condition.
FTD refers to a group of diseases that affect the brain's frontal and temporal lobes. As these areas deteriorate, people lose the abilities those parts of the brain control.
“Essentially, FTD is a term used to describe a syndrome characterized by changes in mood, thinking, behavior, personality, judgment and the ability to solve complex problems. It's caused by the accumulation of abnormal proteins in the brain, which leads to the degeneration of the frontal and temporal lobes. FTD is one of the leading causes of dementia in people under the age of 65,” says Sean’s certified nurse practitioner, Matthew Zgodinski.
Most people develop FTD conditions between the ages of 50 and 80, with the average age of onset being around 58. While the cause behind every case of FTD isn’t clear, about 40% of cases involve a family history of the disease. And although there are currently no treatments available, an early diagnosis is still important.
“Having a clear diagnosis helps the patient and their family understand what they’re facing. It allows them to anticipate the support they may need in the coming years and prepare for it. Even though there are currently no treatments for FTD per se, there are resources available to help the patient and caregiver navigate the disease,” says Matthew.
After receiving Sean’s diagnosis, Sean and Lisa began sorting through how they were going to tell their family. To make the condition easier to explain, they referenced Bruce Willis’ diagnosis to help others understand what Sean was facing.
“If you say Alzheimer's, people know immediately what that is. If you say FTD, people just kind of give you a blank stare. It was so helpful to follow up and say it's the same thing Bruce Willis has, and then people were able to ask questions based on what they know from that,” says Lisa.
While it was difficult news to share, opening up about it allowed Sean and Lisa to tap into their community of friends and loved ones for support. Receiving the diagnosis also connected them to resources, like Cleveland Clinic social worker Grace Knorr.

Sean with two of the friends he volunteers with. Finding ways to stay social is important for patients with FTD. (Courtesy: Cleveland Clinic)
“We’re grateful for Grace and this network of support because otherwise we’d be trying to figure all this out on our own. You need helping hands and other people bringing you different perspectives and ideas. Don’t be afraid to ask for help, and don't wait to find the people who are going to support you throughout this journey,” says Lisa.
With a community of support behind them, Sean and Lisa have found life more manageable by starting each day with a plan and using a calendar to stay organized. Sean's routine also includes doing the activities his care team has suggested to promote cognitive health.
“Patients with FTD should get regular cardiovascular exercise because that has been shown unequivocally to be associated with better brain function and health. Doing cognitive stimulation exercises, like puzzles and word games, is also important. Socializing and not being isolated is crucial as well for those with FTD,” says Matthew, who continues regularly seeing the couple for follow-up appointments.

Sean and Lisa review their personalized calendar with close friends who’ve become an essential part of their support system. The calendar has helped bring structure to their days and ease the transition following Sean’s diagnosis. (Courtesy: Cleveland Clinic)
“During our appointments, I’m asking if Sean or Lisa have noticed any changes in Sean's cognitive abilities. I’m also reinforcing those healthy habits that will help Sean stay stable for as long as possible. I’m checking in on Lisa as the caregiver as well,” says Matthew.
“When Sean was first diagnosed, I thought, ‘Oh my gosh, I wish there was more known about this disease.’ The only way to change that is through advocacy, so I’m appreciative of the awareness Bruce and his wife, Emma, have brought to this disease,” says Lisa.

Hand in hand, Sean and Lisa are learning to navigate life together following the FTD diagnosis. (Courtesy: Cleveland Clinic)
Highlighted in an Innovation in Aging article, Dr. Pillai and colleagues found the news coverage of Bruce Willis’ diagnosis drew a significant amount of attention to the disease and showcased the public’s need for more education about it. That’s because FTD symptoms can often be overlooked or mistaken for Alzheimer’s or other conditions.
“Symptoms of FTD and Alzheimer’s can overlap, but FTD primarily affects the frontal and temporal lobes, leading to early changes in judgment, behavior and language. In contrast, Alzheimer’s disease mainly targets the temporal lobes and hippocampus, causing memory loss early on while behavioral symptoms may appear later,” says Matthew. He adds if a person begins noticing any cognitive changes, it’s important to document what they’re experiencing and share them with a friend or loved one, who can also observe and help explain these changes to a healthcare provider.
The couple now continues learning how to navigate life with “Sean 2.0.” Although he may struggle at times to focus or find the right words, he’s still able to enjoy the things he’s always loved – even if that looks a little different now.
“I've found it's easier for me to have conversations with just two people at a time. It's been a learning curve for me,” says Sean.
“When we went to Punta Cana with some friends recently, there were two pools: the party pool and the quiet pool. Before, we would've been at the party pool – but this time, we were at the quiet pool and couldn't have been happier,” says Lisa.

Now in their ninth year of marriage, Sean and Lisa say their relationship has only grown stronger. (Courtesy: Sean and Lisa)
“Right now, we’re trying to do everything we possibly can while we can. I’m still me, just to a little bit of a lesser degree. We’re learning to adapt,” says Sean.
“We recently had our wedding anniversary and Sean said, ‘You know, I think we’re stronger than ever together.' I guess sometimes adversity helps you out. I'm grateful for every day and moment I have with Sean and that will never change,” says Lisa.
Related Institutes: Neurological Institute