For 1.5 miles, John Paul Chalhoub hobbled through searing pain, desperate to make the finish line. Hampered by an injured left ankle, that for weeks hadn’t improved despite daily rounds of ice and ibuprofen, the incoming freshman at the Naval Academy was determined to get through Plebe Summer. The program is a grueling, seven-week physical training regimen required of all midshipmen. The run was the last physical test he had to complete.
At 18 years old, John Paul wasn’t about to let a nagging ankle injury, no matter how painful, derail his years-long goal of becoming a Naval officer.
“I just got through it. It was brutal,” recalls John Paul, now 22, of that challenging experience. “I finished the run and passed the Physical Readiness Test, but I don’t know how. I was basically running on one leg.”

John Paul graduated from St. Ignatius High School in 2017. (Courtesy: John Paul Chalhoub)
For the next several weeks, as classes began at the Naval Academy Preparatory School in Newport, Rhode Island, John Paul’s physical ailment only worsened. Forced to wear a boot and navigate the campus on crutches, he also endured whispers from fellow midshipmen wondering why his seemingly simple injury was still nagging him.
Finally, after a battery of tests by Navy doctors and an oncologist in Boston, John Paul discovered the shocking answer to his problem.
He was diagnosed with Ewing's sarcoma, an extremely rare form of cancer that most commonly forms in bones, primarily in children and young adults. In John Paul’s case, the tumor was located at the lower end of his tibia, just above the ankle joint.

John Paul started his life of service at the naval academy prep school in Rhode Island. (Courtesy: John Paul Chalhoub)
“I was pretty shocked,” recalls John Paul. “The possibility I might have cancer never crossed my mind.”
Despite his protests, Naval Academy officials – and John Paul’s parents – insisted he go home, to Cleveland, Ohio, for treatment. “Looking back on it now, I was pretty naïve,” he adds. “I thought I could stay. But given the toll that (cancer treatment) can take on your body, the right place for me was at home.”
Shortly after returning home to Highland Heights, Ohio, John Paul met with two specialists at Cleveland Clinic Children’s and Cleveland Clinic – pediatric hematologist/oncologist Peter Anderson, MD, PhD, and orthopaedic surgeon Lukas Nystrom, MD – who quickly developed a treatment plan, as Ewing’s sarcoma can be aggressive and fast-spreading.
“The standard treatment is multi-agent chemotherapy with five drugs, followed by surgery. The ankle is always challenging,” explains Dr. Anderson. “You don’t know if you can save the ankle.”
Indeed, Dr. Nystrom says his initial recommendation for John Paul was to amputate his left leg, high enough to ensure all of the cancer was removed. He describes that with the current state of prosthetics this procedure would enable John Paul to remain highly functional with respect to walking, running and other physical activities.
“I thought about it for a second,” recalls John Paul. “But I had this goal of going back to the Naval Academy, and I didn’t want to let anything stop me from getting there.”

After doctors diagnosed John Paul with Ewing's sarcoma he returned home to Cleveland to receive treatment. (Courtesy: John Paul Chalhoub)
Thus, Dr. Nystrom focused on a surgical procedure that would remove the cancerous bone, replacing it with a piece of bone from a cadaver. While slightly riskier than amputation, because the cancer could have already spread microscopically to other areas near the ankle, John Paul would be able to keep his leg. It would give him the best chance to return to the Naval Academy.
But first, he had to endure several months of intense chemotherapy. Often, Ewing’s sarcoma patients require blood transfusions because their body has such a severe reaction to the drugs, but John Paul was one of the few patients who completed it without a transfusion or requiring hospitalization.
“He’s a really impressive guy with a very positive attitude,” notes Dr. Nystrom. “He knew what had to be done and just put his head down and did it.”
During chemotherapy, John Paul enrolled at John Carroll University, taking one course to give him something else to focus on during treatment. He also began working at a local restaurant, unwilling to let cancer slow him down.
“Just because something bad is happening to you, it doesn’t mean life has to go on pause,” he observes. “Plus, I wanted to get back to normal and show the Navy I was going to be OK.”
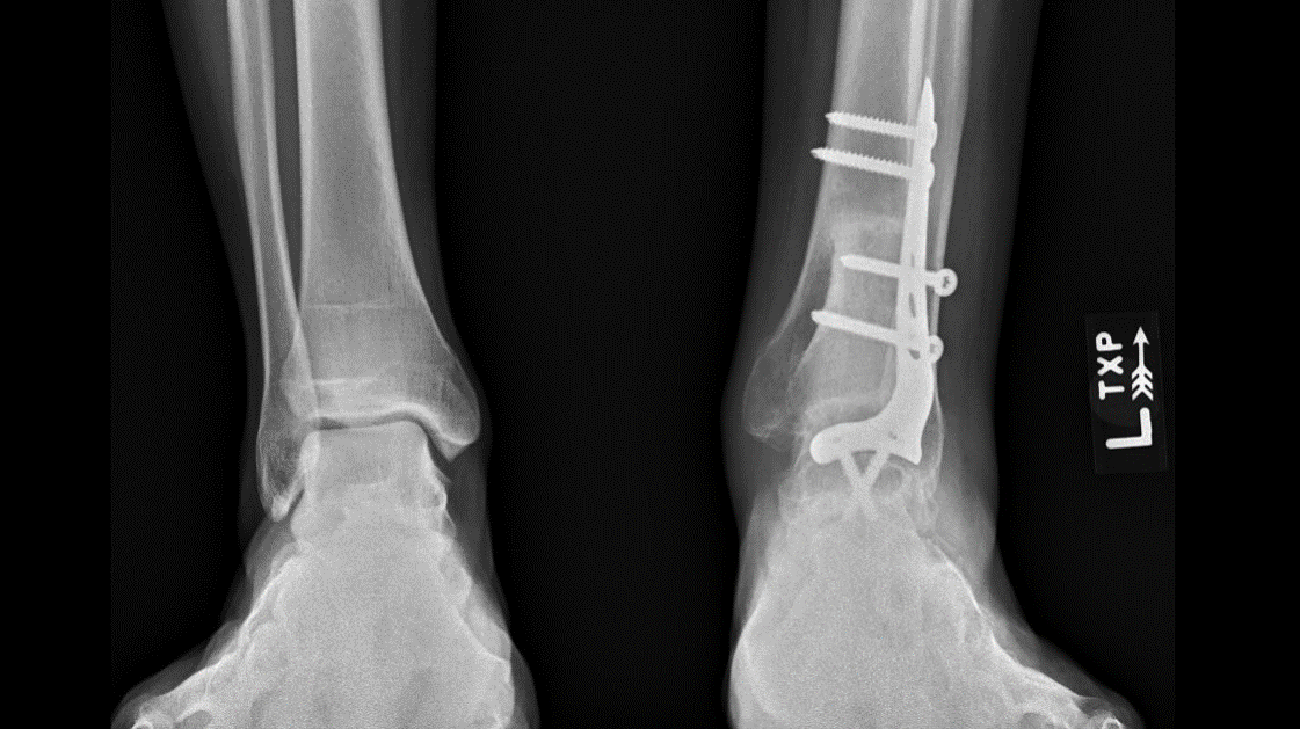
Once the first seven cycles of chemo were complete, it was time for the surgery to remove the cancer. To do this, Dr. Nystrom used MRI and CT scans of John Paul’s ankle region to create custom cutting guides that match exactly to the contour of his bone. Another set of guides was made to match the donor bone.

Dr. Nystrom removed John Paul's cancerous bone and replaced it with a piece of bone from a cadaver. (Courtesy: Cleveland Clinic)
Armed with this patient-specific instrumentation, Dr. Nystrom carefully removed the cancerous bone and also cut an identical piece to replace it out of the donor bone. “It’s a very precise method,” explains Dr. Nystrom, “so the ‘new’ replacement bone fit into John Paul’s tibia like the last piece of a puzzle.”
Because the surgical area was where the ankle meets the tibia, Dr. Nystrom also had to fuse John Paul’s ankle to the tibia, which limits the ankle area’s overall movement by about 50%. However, it was a necessary step to keep it sturdy enough to endure walking and running.
With the surgery a success, John Paul began a long, rigorous recovery, enduring months of physical therapy and seven more cycles of chemotherapy, before beginning to walk again, about four months after the procedure. In the meantime, he continued taking classes at John Carroll so he could get ahead of his studies at the Naval Academy.
While the Academy requires cancer patients to be cancer-free for five years, John Paul sought a waiver. With support from both Ohio U.S. Senators and the House of Representatives member in his district, he reapplied to the Naval Academy. John Paul was unfortunately denied a medical waiver, but he hasn’t let that stop him from pushing ahead down other paths.

After surgery, John Paul has been able to go back to physical training and other activities he enjoys doing. (Courtesy: John Paul Chalhoub)
Undaunted, he refocused his attention on a new goal – graduating from John Carroll. He is on track to do so in December 2021, with a degree in economics. He has also been working as an intern for two summers at National Bank’s Capital Markets. Most importantly, he currently shows no evidence of cancer.
“He has made a great recovery,” says Dr. Anderson. “And his chances for a longstanding remission are quite good.”
Not surprisingly, John Paul – a first-generation American whose parents are from Lebanon – may still chase his Navy dream. He’s considering applying for Officer Candidate School, a Naval officer commissioning program available to college graduates.
“My parents lived through a civil war in Lebanon, and that’s made me appreciate my life here,” he says. “I have a passion to serve my country.”
One way he serves is by participating in Cleveland Clinic’s annual VeloSano bike ride, a fundraising event to support lifesaving cancer research. During his first ride, in 2019, John Paul was accompanied by Dr. Nystrom. They have also enjoyed playing rounds of golf together.
“I’ll continue to ride in VeloSano for as long as God and my leg will let me,” states John Paul. “I want to inspire people to not accept the limits that are set for them.”
Related Institutes: Orthopaedic & Rheumatologic Institute, Cleveland Clinic Children's , Cleveland Clinic Cancer Center