Visión de Conjunto
El cáncer de próstata es el cáncer más común en los hombres, y la segunda causa principal de muerte por cáncer entre los hombres en los Estados Unidos. Cada año, se diagnostican aproximadamente 185000 nuevos casos de cáncer de próstata a nivel nacional. Aproximadamente uno de cada seis hombres recibirá un diagnóstico de cáncer de próstata durante su vida, pero solo uno de cada 35 morirá a causa de la enfermedad. Más de dos millones de hombres estadounidenses actualmente vivos han sido diagnosticados con cáncer de próstata en algún momento.
El cáncer de próstata es un tumor maligno que generalmente comienza en la parte exterior de la próstata. En la mayoría de los hombres, el cáncer crece muy lentamente. De hecho, muchos hombres con la enfermedad nunca sabrán que la padecen. El cáncer de próstata incipiente solo afecta a la misma glándula prostática, y la mayoría de los pacientes con este tipo de cáncer pueden vivir durante años sin ningún problema. El cáncer de próstata se clasifica en dos categorías: “grado” y “fase”. El tamaño y la extensión del tumor determinan su fase. En su fase inicial, fase T1 y T2, el cáncer de próstata se limita a la glándula prostática. La fase T3 del cáncer de próstata ha avanzado a los tejidos exteriores cercanos a la glándula. La fase T4 del cáncer de próstata significa que puede haber invadido estructuras adyacentes como el recto, la vejiga o la pared pélvica.
Diagnóstico
Aquí encontrará un resumen de las herramientas que un médico utilizará para determinar la agresividad de un cáncer de próstata. Afortunadamente, la mayoría de los casos de cáncer de próstata no se han extendido al momento del diagnóstico, y el cáncer afecta principalmente a la glándula prostática.
El antígeno prostático específico (PSA, por sus siglas en inglés) es una proteína producida por la glándula prostática. Desde finales de la década de 1980 se ha utilizado una prueba de detección que mide la cantidad de PSA en el torrente sanguíneo. Los niveles elevados de PSA pueden indicar cáncer de próstata u otra afección no cancerosa, como prostatitis o hiperplasia prostática benigna (BPH, por sus siglas en inglés).
Por otra parte, se utiliza una puntuación de Gleason para estimar la agresividad de un tumor en un individuo al que se le diagnosticó cáncer de próstata. Un patólogo asigna una puntuación de Gleason después de analizar la biopsia de próstata. Un patólogo asignará una puntuación primaria y una secundaria de 1 a 5 cada una, y la puntuación final es la suma de estas puntuaciones. En general, las puntuaciones de Gleason menores a 5 no se consideran cáncer; 6 son de bajo grado; 7 son de grado intermedio; y de 8 a 10 son de alto grado (los casos de cáncer más agresivos). Además de la puntuación de Gleason, también se utiliza un nuevo método de grupos de grado, siendo 1 el tipo de cáncer de grado más bajo y 5 el de grado más alto.
El sistema tumor-nódulo-metástasis (TNM, por sus siglas en inglés) se utiliza para estimar la extensión de un cáncer. La porción de tumor (T) de la puntuación describe el estado tumoral primario, que oscila de T0 (sin evidencia de un tumor primario) a T4 (tumores que se han extendido y comprometen a otras estructuras fuera de las vesículas seminales). La porción de nódulo (N) de la puntuación describe el estado de los nódulos linfáticos, que oscila de N0 (sin metástasis en nódulos regionales ni extensión de la enfermedad) a N3 (metástasis mayor a 5 cm en cualquier nódulo). La porción de metástasis (M) describe el nivel de extensión de la enfermedad, de M0 (sin metástasis) a M1 (metástasis distante).
El plan de tratamiento más apropiado para un paciente se crea utilizando una combinación de los niveles de PSA, de puntuación de Gleason y de puntuación TNM.
¿Quiénes deben realizarse una prueba de PSA para la detección del cáncer de próstata?
Recientemente surgió cierta controversia con respecto a la efectividad de las pruebas de detección de PSA de rutina. A continuación detallamos el razonamiento:
El PSA no cuenta la historia completa. Es importante comprender que la prueba de PSA no es perfecta. Muchos hombres que no tienen cáncer de próstata tienen niveles elevados de PSA. Los resultados falsos positivos en las pruebas pueden redundar en la realización de biopsias innecesarias. Asimismo, los niveles bajos de PSA no necesariamente descartan la posibilidad de cáncer. Y es posible que los casos de cáncer de grado bajo detectados mediante una biopsia realizada en función de los niveles de PSA no necesiten ningún tratamiento.
Otros factores de riesgo también son importantes. Estos incluyen antecedentes familiares, edad, raza y PSA libre (el porcentaje de PSA en el torrente sanguíneo que no está unido a la proteína).
La prueba de PSA no es la única que permite obtener información sobre el riesgo de cáncer de próstata. La prueba 4K de OPKO y el índice de salud prostática (PHI, por sus siglas en inglés) son análisis de sangre que se utilizan como alternativas adicionales. Ambas pruebas ofrecen una evaluación más precisa del riesgo de tener un tipo de cáncer que requiera tratamiento.
Recientemente, el Grupo de Trabajo sobre Servicios Preventivos de los EE. UU. (USPSTF, por sus siglas en inglés) actualizó su recomendación sobre la detección del PSA de un grado D (no hacer pruebas de detección) a un grado C, lo cual indica que consideran que la decisión de realizarse pruebas de detección de cáncer de próstata debe ser tomada por los individuos, en función del análisis con sus médicos sobre los posibles beneficios y daños de las pruebas de detección. Esta actualización se basó en los resultados a largo plazo obtenidos a partir del Estudio Aleatorizado Europeo de Detección del Cáncer de Próstata (ERSPC, por sus siglas en inglés). En este estudio se demostró que los hombres de 55 a 69 años a los que se les realizó la prueba de detección mediante el PSA presentaron una reducción del 25 % en el riesgo de fallecimiento a causa del cáncer de próstata y una reducción del 35 % en el riesgo de necesitar tratamiento paliativo para el cáncer de próstata metastásico (avanzado) en comparación con aquellos a los que no se les realizaron pruebas de detección.
Nuestro mejor consejo: Tenga en cuenta sus factores de riesgo y analice con su médico las ventajas y desventajas de realizarse una prueba de PSA.
Para que pueda conocer más sobre su riesgo personal de padecer cáncer de próstata, le ofrecemos una calculadora interactiva del riesgo.
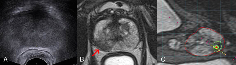
Biopsia guiada por fusión: una forma focalizada de detectar el cáncer de próstata

Una ecografía de la próstata (A) no proporciona información tan detallada como una resonancia magnética nuclear (MRI, por sus siglas en inglés) (B). La MRI revela un área oscura (flecha) que sugiere la presencia de un tumor. Al fusionarse las imágenes obtenidas mediante MRI y ecografía (C), el cirujano tiene un panorama aún más claro de la zona donde realizar la biopsia. La próstata está delineada en rojo, el tumor sospechoso en verde y la aguja de la biopsia en amarillo.
Para los hombres con PSA elevado con o sin biopsia previa, los urólogos de Cleveland Clinic están utilizando una nueva tecnología para detectar el cáncer de próstata. El método se denomina biopsia guiada por fusión y utiliza el poder de las imágenes de la próstata obtenidas mediante MRI multiparamétrica de alta resolución junto a la biopsia de próstata guiada por ecografía en tiempo real para lograr una biopsia focalizada precisa de las áreas sospechosas de la próstata que pueden albergar un cáncer de próstata agresivo. Combina el poder y el detalle de la MRI con la conveniencia de realizar la ecografía en tiempo real.
A continuación se indica cómo funciona: Primero el paciente se somete a una MRI especializada de alta resolución, que es eficaz para identificar áreas sospechosas en la próstata que pueden ser cancerosas. Posteriormente, en un entorno ambulatorio, el urólogo inserta una sonda ecográfica en el recto del paciente para examinar la próstata. Un software especial “fusiona” las imágenes de la MRI anterior con las imágenes de la ecografía en vivo. El resultado es una imagen tridimensional altamente detallada de la próstata, en la que se resalta el área sospechosa para que, de esta manera, se pueda posicionar una aguja de biopsia de forma precisa para obtener una muestra para analizar.
Cuáles son las expectativas si se le diagnostica cáncer de próstata
En Cleveland Clinic, brindamos una atención personalizada para cada paciente, teniendo en cuenta el tipo de cáncer, la edad, si el tumor se extendió o no, y el estado de salud general. Sin embargo, el proceso de evaluación y decisión terapéutica es similar para todos los hombres. A continuación puede encontrar información general acerca de las expectativas en caso de que se le diagnostique cáncer de próstata:
Su médico evaluará sus niveles de PSA, la puntuación de Gleason y la puntuación TNM y se reunirá con usted para crear un plan de tratamiento individualizado y dispondrá todos los análisis adicionales que puedan ser necesarios. En caso de que sea improbable que el cáncer se haya extendido fuera de la glándula, es posible que no sea necesario realizar estudios para la clasificación por fases, como gammagrafías óseas y tomografías computarizadas. En caso que su cáncer tenga mayor probabilidad de extensión, es posible que deba realizarse estos estudios o una tomografía por emisión de positrones (PET, por sus siglas en inglés) para determinar las zonas a las que se puede haber extendido el cáncer.
Su médico analizará el plan y los pasos a seguir con usted y su familia. Las posibles opciones son: vigilancia activa, cirugía, radioterapia, braquiterapia, crioterapia, ultrasonido focalizado de alta intensidad, terapia hormonal o quimioterapia (consultar la sección de tratamiento de esta guía para obtener más información sobre cada una de ellas).
Analice sus opciones detenidamente. A diferencia de muchos tipos de cáncer, el cáncer de próstata generalmente permite un período significativo para sopesar su decisión. (Su médico le informará si su cáncer es agresivo y si necesita comenzar el tratamiento de forma inmediata). Tome notas y haga preguntas. Asegúrese de comprender toda la información antes de que usted y su médico acuerden el curso de tratamiento.
Una vez que haya comenzado el tratamiento, tendrá seguimientos periódicos con su médico. La frecuencia de visitas dependerá de la agresividad del cáncer. En los pacientes sin evidencia de cáncer después del tratamiento inicial, la recomendación habitual es realizar la prueba de PSA cada seis meses. Aquellos con enfermedad metastásica necesitan análisis y visitas al consultorio más frecuentes para monitorear la respuesta al tratamiento de manera constante.
Sus médicos
Durante el transcurso del diagnóstico y tratamiento, habrá muchos miembros del equipo que intervendrán en su atención. Entre ellos se encuentran los siguientes:
Urólogo
Su urólogo se especializa en la salud de los órganos genitales masculinos y las vías urinarias. El urólogo será el primer especialista con el que consultará si su médico de cabecera sospecha que puede tener un problema en la próstata. El urólogo realiza las biopsias, cirugías, crioterapias o braquiterapias (junto con un oncólogo médico) que puedan ser necesarias.
Oncólogo genitourinario médico
Es un médico que posee una capacitación especial en el tratamiento no quirúrgico del cáncer de próstata (como inmunoterapia, terapia hormonal y quimioterapia). El oncólogo médico le hará el diagnóstico de cáncer y le recomendará las opciones terapéuticas adecuadas para usted. También supervisará su progreso durante todo el tratamiento y lo ayudará a coordinar la atención que pueda necesitar de otros especialistas.
Patólogo
Las pruebas de laboratorio son una parte vital del diagnóstico, la planificación del tratamiento, y el monitoreo del cáncer de próstata. Los patólogos les brindan a los médicos diagnósticos de expertos, segundas opiniones y consultas de subespecialidad.
Oncólogo radioterapeuta
Es un médico especializado en la administración de radioterapia (fuertes haces de energía) para matar las células cancerosas o evitar que crezcan y se dividan. La radioterapia, que incluye radioterapia de intensidad modulada, puede utilizarse junto con la cirugía o la quimioterapia para tratar el cáncer.
Opciones de tratamiento para la fase inicial de la enfermedad
Espera vigilante o vigilancia activa
La espera vigilante, ahora más comúnmente denominada “vigilancia activa con intervención retardada selectiva” no requiere tratamiento para un cáncer de próstata detectado hasta que el médico detecte signos de que el cáncer está creciendo de forma más agresiva. Esta opción es exclusiva para pacientes con cáncer que afecta a la glándula prostática y que se define como de agresividad baja a media. Se ofrece con mayor frecuencia como una opción para hombres de edad avanzada con problemas de salud debido a que permite evitar posibles riesgos y efectos secundarios del tratamiento. La vigilancia activa puede ser una opción para hombres más jóvenes que quieren evitar los posibles efectos secundarios del tratamiento o posponerlo la mayor cantidad de tiempo posible.
¿Cuáles son los riesgos de la vigilancia activa?
Existe la posibilidad de que el cáncer de crecimiento lento pudiera repentinamente acelerar su crecimiento y extenderse más allá de su lugar original o dejar de ser curable. El tratamiento puede ser más arriesgado en pacientes de edad avanzada, ya que aumenta la posibilidad de sufrir efectos secundarios y prolonga el período de recuperación. Los pacientes también tienen que estar dispuestos a volver al consultorio del médico con mayor frecuencia para realizarse análisis de sangre, exámenes rectales y biopsias para controlar la progresión de la enfermedad. Estar preocupado por tener cáncer y saber que no se está recibiendo tratamiento puede ser una situación abrumadora desde el punto de vista emocional.>
¿Cuáles son los beneficios de la vigilancia activa?
Existen muchas posibilidades de que un paciente con cáncer de próstata nunca desarrolle síntomas ni requiera tratamiento. Incluso aunque el cáncer crezca, la mayoría de los casos de cáncer de próstata crecen muy lentamente. Se podrían desarrollar tratamientos más nuevos mientras el cáncer se encuentra en vigilancia. Las investigaciones han demostrado que, al menos durante los primeros ocho años, la expectativa de vida de los hombres que eligen esta opción puede no ser diferente a la de los que optan por tratar el cáncer de manera agresiva. La vigilancia activa también permite evitar el riesgo de impotencia e incontinencia urinaria asociado con el tratamiento.
Uso de la genómica para mejorar la vigilancia activa
El actual riesgo de tener un diagnóstico de cáncer de próstata en los EE. UU. es del 17 %, mientras que el riesgo de muerte de por vida es solo del 3 %. Este hallazgo sugiere que la mayoría de los casos de cáncer de próstata recientemente diagnosticados no requieren tratamiento y que la vigilancia activa es un método adecuado.
A pesar de contar con esta información, la vigilancia no se utiliza lo suficiente en la actualidad. Aproximadamente dos terceras partes de los hombres a los que se les diagnostica cáncer de próstata de bajo riesgo se continúan sometiendo al tratamiento inmediato con radiación o cirugía. Existen varias razones sobre el motivo por el cual la vigilancia no se adoptó ampliamente, incluido el miedo de los pacientes a no tratar el cáncer y la falta de un método para distinguir tumores de crecimiento lento de tumores agresivos en el momento del diagnóstico.
En la actualidad hay un nuevo análisis genético, desarrollado en Cleveland Clinic con el fabricante Genomic Health, Inc. llamado Oncotype DX Prostate, que puede ayudar a su médico a determinar de manera más precisa la agresividad del cáncer. Este análisis, define el riesgo de una persona y podría ayudar a determinar las mejores estrategias de tratamiento.
Los resultados de los análisis, que son individuales en función de la información genética de cada persona, crean una puntuación genómica prostática (GPS, por sus siglas en inglés) que oscila entre 0 y 100. Esta puntuación se combina con otros factores que ayudan a los médicos a determinar con mayor precisión el riesgo de cáncer de próstata antes de iniciar el tratamiento. El análisis debe estar prescrito por un médico, quien luego obtendrá un informe de la GPS y podrá reunirse con usted para compartir los resultados, analizar las consecuencias y ayudarlo a optar por las opciones más adecuadas para usted.
Cirugía
La extirpación completa de la próstata, llamada prostatectomía radical, es uno de los tratamientos más comunes para el cáncer de próstata.
La mayoría de los procedimientos quirúrgicos para el cáncer de próstata se realizan con el objetivo de intentar preservar los nervios que controlan las erecciones. Estas cirugías que preservan los nervios reducen, pero no eliminan, el riesgo de incontinencia e impotencia.
¿Qué debe saber un paciente con cáncer de próstata sobre la cirugía?
Tras realizarse una revisión de los pacientes con cáncer de próstata tratados en Cleveland Clinic con cirugía laparoscópica mediante asistencia robótica, prostatectomía radical abierta, braquiterapia, crioterapia y vigilancia activa no se halló diferencia en la tasa de función sexual en todos los momentos de medición después del tratamiento. Las tasas de continencia urinaria fueron similares con todos los tratamientos a los seis meses.
Esto pone de manifiesto que el mejor indicador de los resultados quirúrgicos es la experiencia del cirujano en lugar de la técnica utilizada. Los cirujanos de Cleveland Clinic tienen una vasta experiencia con todos los métodos de prostatectomía y muchos nuevos métodos se desarrollaron aquí. Tanto si el paciente se somete a una prostatectomía abierta, laparoscópica o robótica, el dolor y el tiempo de recuperación son similares. Los pacientes deben conocer el nivel de experiencia de su cirujano al examinar las opciones de tratamiento.
Los cirujanos de Cleveland Clinic fueron los primeros del mundo en utilizar la técnica de puerto único para la cirugía de próstata. Con este método, los cirujanos acceden al cuerpo a través de una única incisión. Este método mínimamente invasivo se ofrece en Cleveland Clinic para brindarles a los pacientes una opción de tratamiento adicional para el cáncer de próstata.
La cirugía robótica utiliza un sistema quirúrgico optimizado por computadora que proporciona:
- Una visión tridimensional del campo quirúrgico, que incluye profundidad, magnificación y alta resolución.
- Instrumentos diseñados para imitar el movimiento de las manos, las muñecas y los dedos de los seres humanos, permitiendo un amplio rango de acción y mayor precisión.
- Controles maestros que le permiten al cirujano manipular los instrumentos, traduciendo los movimientos naturales de la mano y la muñeca del cirujano a los correspondientes movimientos precisos y graduados.
Prostatectomía abierta
Durante un prostatectomía radical abierta, se extirpa toda la próstata a través de una incisión en la parte inferior del abdomen. Debido a que la próstata rodea la uretra, una vez que se extrae, el cirujano debe volver a conectar la vejiga con la uretra.
Cirugía asistida por robot
La cirugía asistida por robot, un tipo de cirugía mínimamente invasiva (MIS, por sus siglas en inglés), utiliza equipamiento robótico para imitar los movimientos quirúrgicos. Los procedimientos de la MIS les permiten a los cirujanos operar a través de pequeños puertos en lugar de grandes incisiones. La robótica quirúrgica combina técnicas mínimamente invasivas con tecnología clínica altamente avanzada. Los resultados de la cirugía robótica y abierta son iguales, con duración de la internación y tiempo de recuperación similares. El factor más importante para obtener un buen resultado es elegir un cirujano con experiencia en la técnica.
¿De qué manera asiste la nueva tecnología al cirujano?
El sistema de visión tridimensional amplifica el campo quirúrgico hasta 15 veces y mejora la capacidad del cirujano para realizar una disección precisa del tejido, reduciendo de esta manera la pérdida de sangre. Los brazos del robot se mantienen firmes todo el tiempo y las muñecas les facilitan a los cirujanos manipular el tejido y trabajar desde todo tipo de ángulos y posiciones que hubieran sido difíciles de alcanzar de otro modo.
¿Qué sucede después de la cirugía?
Después de la cirugía, los pacientes habitualmente permanecen en el hospital uno o dos días. Durante este tiempo, el personal controla a los pacientes a diario y, al momento del alta, les dan instrucciones posoperatorias detalladas. Los pacientes pueden continuar el seguimiento en Cleveland Clinic o con su médico local.
Radioterapia
La radioterapia consiste en el uso de rayos X de alta energía, haces de electrones o isótopos radioactivos para matar las células cancerosas y eliminar los tumores. La radiación ioniza o daña los cromosomas de la célula para que no se puedan multiplicar. La radiación se genera a partir de una máquina fuera del cuerpo (radiación externa) o colocando materiales que producen radiación dentro del área en la que se encuentran las células cancerosas (radiación interna o braquiterapia).
La radioterapia es un tratamiento local, dirigido directamente al cáncer. Al igual que otros tratamientos como la cirugía o la quimioterapia, tanto las células normales como las células cancerosas se ven afectadas. No obstante, el organismo es capaz de reparar las células sanas que se dañaron y restaurarlas para que funcionen adecuadamente. Las células cancerosas, sin embargo, no pueden reparar este daño y se neutralizan. El éxito de la radioterapia depende de la administración de la cantidad correcta de radiación al cáncer de la manera más efectiva y adecuada, para que las células normales puedan reparar el daño mientras que se destruyen las células cancerosas.
Aquí puede encontrar un análisis más detallado de los diferentes tipos de radioterapia:
Braquiterapia
En esta forma de radioterapia, se implantan semillas radiactivas en la próstata, cada una de aproximadamente 1/4 de pulgada de largo y 1/32 de pulgada de grosor. Estas semillas pueden ser temporales (se retiran después de alcanzar la dosis adecuada) o se pueden dejar permanentemente. La cantidad de semillas implantadas (hasta 300 o más) depende del tamaño y la forma de la próstata. El procedimiento de implante lleva alrededor de una hora y se realiza de forma ambulatoria. Aunque las semillas administran una dosis mayor de radiación que el procedimiento con haz externo, la radiación viaja solo unos pocos milímetros y, por lo tanto, es improbable que se extienda más allá de la próstata, pero lo suficientemente lejos para tratar cualquier extensión del cáncer más allá de la glándula prostática.
¿Quién cumple con los requisitos para recibir braquiterapia?
Esta terapia puede funcionar mejor en casos de cáncer de riesgo bajo, intermedio, algunos de alto riesgo, y puede no ser una buena opción para los hombres con formas más agresivas de cáncer de próstata, o cáncer que se haya extendido a otras parte del cuerpo.
¿Cuáles son los riesgos de la braquiterapia?
Aunque la radiación no viaja lejos con esta forma de terapia, debido a la proximidad de la próstata con la uretra, la braquiterapia puede provocar irritación urinaria más aguda que la terapia con haz externo. Algunos pacientes (1 de cada 10) necesitan un catéter en ocasiones para ayudarlos a orinar mientras la radiación permanece más activa, pero en pocas ocasiones es necesario durante más de algunas semanas. Asimismo, a pesar del bajo riesgo, dado que las mujeres embarazadas y los niños pequeños son más susceptibles a los efectos de la radiación, se les aconseja a los pacientes que se someten a la braquiterapia no tener a mujeres embarazadas o niños (menores de 18 años) sentados en su regazo durante más de 20 minutos por hora durante los primeros dos meses.
¿Cuáles son los beneficios de la braquiterapia?
Cleveland Clinic comenzó su programa de braquiterapia de próstata en 1996. Más de 5000 pacientes han sido tratados desde entonces. Nuestras tasas de curación, según se define mediante el PSA, son idénticas durante un período máximo de 10 años a las de los pacientes tratados en Cleveland Clinic con prostatectomía radical o radioterapia de haz externo.
Características únicas de nuestro Programa de braquiterapia
- Es el primer grupo en publicar las mejorías obtenidas mediante el tratamiento de pacientes dentro de una sesión donde la planificación del tratamiento y el tratamiento ocurren el mismo día. Esto también genera costos menores y mayor conveniencia para el paciente debido a que es necesaria una visita menos.
- Presenta el perfil de efecto secundario rectal más bajo que cualquier serie publicada.
- Constituye la serie más grande de pacientes con cáncer de próstata de alto riesgo tratados con terapia hormonal o radiación de haz externo complementaria.
Radiación de haz externo
La radioterapia de haz externo es la forma más común de radioterapia. Antes de comenzar el tratamiento, se realiza una planificación o simulación detallada. Durante la simulación, los especialistas utilizan las mediciones obtenidas a partir de las exploraciones y los cálculos para determinar la ubicación precisa para enfocar la radiación. La simulación puede demorar hasta una hora. Durante el tratamiento, se coloca al paciente sobre una camilla de forma que un haz de una máquina situada fuera del cuerpo pueda dirigirse al tumor. El tratamiento de radiación en sí solo dura unos minutos y suele realizarse cinco veces a la semana durante varias semanas.
Algunas variaciones técnicas de la radiación de haz externo son las siguientes:
- Radioterapia tridimensional de dosis alta (3-DCRT, por sus siglas en inglés)
- Radioterapia de intensidad modulada (IMRT, por sus siglas en inglés)
- Radioterapia guiada por imágenes (IGRT, por sus siglas en inglés)
- Arcoterapia volumétrica modulada (VMAT, por sus siglas en inglés)
¿Cuáles son los beneficios de la terapia de haz externo?
Los beneficios de esta terapia con haz focalizado son que minimiza el daño a los tejidos y las estructuras cercanas y que el tratamiento no es doloroso. La terapia con haz puede usarse como una alternativa para la cirugía para tratar cánceres que se hayan extendido a la pelvis y no se pueden extirpar quirúrgicamente, o para ayudar a disminuir el dolor y reducir los tumores en la enfermedad avanzada que no puede curarse. En comparación con la cirugía, la incontinencia es una manifestación menos frecuente y la preservación de la función sexual puede ser ligeramente mayor. Cleveland Clinic es pionera en radioterapia de intensidad modulada hipofraccionada, en la que grandes dosis diarias de radioterapia se dirigen con precisión al tumor a la vez que se preserva el tejido sano adyacente. Esto puede reducir varias semanas la duración del tratamiento del cáncer de próstata. Los índices de curación, según se define mediante el PSA, son idénticos durante un período máximo de 10 años a los de los pacientes tratados en Cleveland Clinic con prostatectomía radical.
¿Cuáles son los efectos secundarios de la terapia de haz externo?
Los efectos secundarios de la radioterapia son, en su mayoría, específicos para el área del cuerpo irradiada. En el caso del cáncer de próstata, los efectos secundarios más comunes que requieren tratamiento son el sangrado rectal y la estenosis urinaria. Los efectos secundarios generales de la radiación pueden incluir irritación de la piel y fatiga. La radioterapia como un tratamiento para el cáncer de próstata también puede provocar disfunción eréctil y cambios en la frecuencia y urgencia urinaria.
Existen medicamentos y técnicas que pueden utilizarse para controlar los efectos secundarios. Los efectos secundarios deben analizarse con el oncólogo radioterapeuta para que puedan tratarse adecuadamente.
¿Qué significa la atención de seguimiento?
Una vez completadas las sesiones de radioterapia, los pacientes visitan al médico para realizarse pruebas y exámenes de seguimiento periódicos.
¿Por qué tiene importancia el movimiento del órgano durante la radioterapia?
Los órganos internos se mueven naturalmente durante el tratamiento y la próstata ocasionalmente se mueve fuera del campo de radiación previsto durante el tratamiento. Debido a que los médicos no pueden predecir hacia dónde o cuánto se moverán los órganos, es posible que el tumor no reciba la cantidad adecuada de radiación. Además, es posible que otros órganos y tejidos cercanos reciban la radiación que no deberían recibir. En Cleveland Clinic, se utiliza una guía por imágenes diaria para alinear de forma precisa el objetivo y minimizar la dosis a los órganos adyacentes.
SBRT: una nueva opción de radioterapia puede mejorar los resultados
Una nueva terapia dirigida que se está utilizando en Taussig Cancer Institute, llamada radioterapia estereotáctica corporal (SBRT, por sus siglas en inglés), puede resultar una mejor opción para los pacientes con cáncer de próstata que el criterio de referencia de radiación de haz externo.
La SBRT administra una serie de cinco dosis de radiación más fuertes y bien dirigida a la próstata, con menos radiación al tejido adyacente. Para los pacientes, esto es bastante más simple que las aproximadamente 40 sesiones de tratamiento necesarias durante un período de hasta nueve semanas para la terapia de haz externo.
Los pacientes también se benefician de la capacidad de la SBRT para apuntar a la próstata con localización en tiempo real durante el tratamiento, lo cual aumenta la precisión y reduce aún más la exposición a los órganos adyacentes. Casi todos los pacientes con cáncer de próstata diagnosticado recientemente son candidatos para la SBRT.
¿Qué sabemos sobre la terapia con haces de protones?
Varios centros en todo el país ya están ofreciendo terapia con haces de protones, un tipo de radioterapia que utiliza protones (partículas con carga positiva) para administrar la radiación directamente a los tumores. Estos protones (en comparación con los haces de rayos X utilizados en la radioterapia tradicional) están dirigidos de forma precisa y matan las células tumorales, a la vez que minimizan el daño a los tejidos sanos circundantes.
En Cleveland Clinic, hemos optado por no ofrecer la terapia con haces de protones. No existen datos a largo plazo que demuestren que esta opción es mejor que la radioterapia estándar. Las investigaciones recientemente publicadas también sugieren que los índices de complicaciones con la terapia con haces de protones son realmente más altos, no menores, que con la radioterapia estándar*. En este momento, queremos ofrecerles a nuestros pacientes solo aquellas terapias que han demostrado ser efectivas a través de los datos a largo plazo y que tengan la menor cantidad de efectos secundarios.
Tecnologías de ablación
Ultrasonido de alta intensidad (HIFU, por sus siglas en inglés)
Un tratamiento relativamente nuevo para el cáncer de próstata localizado, el ultrasonido focalizado de alta intensidad o HIFU, puede ayudar a algunos hombres a evitar la cirugía o la radioterapia. El HIFU produce menores efectos secundarios que los tratamientos más tradicionales.
¿Cómo funciona la terapia con HIFU?
El HIFU es una técnica de terapia focal que apunta a un área específica de la próstata en lugar de a toda la glándula. Las ondas de sonido de alta intensidad se dirigen al tumor a través de una sonda ecográfica insertada en el recto. La sonda se calienta a 80 °C (176 °F) y mata el tejido canceroso. El cirujano controla los movimientos de la sonda con gran precisión utilizando un brazo robótico.
¿Cuáles son los beneficios de la terapia con HIFU?
- El tiempo improductivo y los dolores se reducen. El HIFU es un procedimiento ambulatorio, por lo que no es necesario que el paciente permanezca internado. El tratamiento generalmente dura alrededor de una hora y, una vez que se coloca el catéter, el paciente puede irse a su casa. Los pacientes habitualmente no necesitan analgésicos después del HIFU porque no es tan invasivo como otros tratamientos, y no se realizan incisiones quirúrgicas ni radiación.
- Tiene menos efectos secundarios. La preocupación de muchos hombres es perder la capacidad de lograr una erección después del tratamiento del cáncer de próstata. La incapacidad de controlar la vejiga es otro efecto secundario habitual de los tratamientos más tradicionales. Los hombres que optan por el HIFU tienen menos probabilidades de disfunción eréctil o incontinencia urinaria después del procedimiento.
- Otros tratamientos. Si el HIFU no es efectivo y el cáncer continúa o regresa, los pacientes pueden recibir otros tratamientos, como la cirugía. Algunas opciones de tratamiento tales como la radioterapia en general no se utilizan por segunda vez debido a un mayor riesgo de efectos secundarios negativos.
¿Cuáles son las desventajas de la terapia con HIFU?
- No es adecuada para todos. El HIFU habitualmente solo se utiliza para el cáncer de próstata localizado (el cáncer que no se ha extendido fuera de la próstata) y es más adecuada para los hombres que se encuentran en las primeras fases de la enfermedad. En las fases más avanzadas, cuando el cáncer se ha diseminado más allá de la próstata, la terapia con HIFU no es efectiva.
- Es relativamente nueva. Como tratamiento del cáncer de próstata, el HIFU se ha utilizado durante aproximadamente dos décadas fuera de los Estados Unidos. En los EE. UU., la Administración de Alimentos y Medicamentos (FDA, por sus siglas en inglés) aprobó el HIFU para el tratamiento relacionado con la próstata en octubre de 2015. (La aprobación fue para el uso en la extirpación del tejido prostático y no específicamente para el tratamiento del cáncer de próstata). El HIFU tiene un índice de éxito del 86 % en cinco años en Europa para el cáncer de próstata en las primeras fases. Y cerca del 80 % de los que se realizaron este tratamiento han permanecido sin cáncer durante siete años.
- No está disponible de forma generalizada. Debido a que la aprobación de la FDA es bastante reciente, no todos los hospitales ofrecen el tratamiento. Cleveland Clinic comenzó a ofrecer el HIFU en 2017. Los hombres deben analizar ésta y otras opciones de tratamiento con su médico.
El tratamiento tradicional para el cáncer de próstata de alto grado o localmente avanzado (puntuación de Gleason de ocho o más) o tumores que se han extendido mínimamente más allá de la glándula prostática (estadio clínico T3) ha sido una combinación de hormonas y radiación de haz externo de dosis alta. Si bien sigue siendo una buena opción para muchos hombres, especialmente si son de edad avanzada o tienen problemas médicos asociados, los cirujanos de Cleveland Clinic han adquirido mucha experiencia con la cirugía para el cáncer más avanzado en los últimos 10 años. Las posibles ventajas de la cirugía incluyen la capacidad de realizar una disección extendida de los nódulos linfáticos, que puede ofrecer información importante sobre el pronóstico y puede ser curativa en los hombres con enfermedad mínima en los nódulos linfáticos; la clasificación patológica completa por etapas de la próstata extirpada, que permite tomar una decisión informada en base a los posibles beneficios de la radiación posquirúrgica (adyuvante); evitar o demorar la necesidad de terapia hormonal y evitar los posibles efectos secundarios de la radiación externa. Algunos hombres pueden cumplir con los requisitos de elegibilidad para la participación en ensayos clínicos de medicamentos administrados antes de la cirugía (terapia neoadyuvante), un enfoque iniciado por los médicos que trabajan en tándem en los institutos Taussig Cancer Institute y Glickman Urological & Kidney Institute.
Crioterapia
En este tratamiento, se insertan entre cuatro y ocho pequeñas sondas en forma de aguja en la próstata para congelar la glándula a temperaturas que resultan letales para las células cancerosas de la próstata. Este procedimiento sin incisión mínimamente invasivo se realiza ya sea como un procedimiento ambulatorio o con una internación de un día. Con este tratamiento, los pacientes se recuperan en cuestión de días y por lo general experimentan secuelas mínimas.
Los urólogos de Cleveland Clinic tienen gran experiencia en el uso de la crioterapia para el tratamiento del cáncer de próstata tanto como terapia inicial como para la recidiva del cáncer después de la radioterapia. Este tratamiento puede utilizarse de tres formas:
- Para el tratamiento de toda la próstata después del primer diagnóstico de cáncer de próstata.
- Para la terapia “de rescate” para tratar el cáncer que haya reaparecido en la próstata después de la terapia anterior como la radiación o la braquiterapia.
- Para el tratamiento exclusivo de la porción afectada de la próstata, llamado “terapia focal”. La terapia focal puede utilizarse en ciertos hombres cuyo cáncer es lo suficientemente pequeño como para controlarlo con congelación menos generalizada.
¿Cómo funciona la crioterapia?
Los criocirujanos utilizan criosondas (agujas) de 3 mm de diámetro o menos supercongeladas con gas argón, que se insertan en la próstata a través de la piel mediante guía de ultrasonido. El tejido afectado se congela de forma repetida a -40 grados Centígrados, lo que provoca la destrucción del tumor.
¿Cuáles son los riesgos asociados con la crioterapia?
Como con cualquier terapia para el cáncer de próstata, la crioterapia puede provocar efectos secundarios o dañar los órganos adyacentes. El daño a la uretra se minimiza a través del uso de un catéter para el calentamiento de la uretra que hace circular líquido tibio a través de sus cámaras. El daño también se minimiza mediante el monitoreo preciso de la temperatura utilizando sondas colocadas cerca de las áreas vitales.
¿Cómo se realiza el procedimiento?
- Crioterapia primaria: se colocan cuatro o más criosondas. La congelación comienza lentamente mediante monitoreo por ultrasonido y computarizado. Cuando la bola de hielo alcanza un frío letal, se desactiva el argón y se activa el helio para descongelar la glándula. El proceso se repite tan pronto como se descongela, y todo el procedimiento se completa en el plazo de dos horas. Después de la cirugía, la mayoría de los hombres pueden regresar a su casa dentro de las 24 horas, normalmente el mismo día del procedimiento. Un catéter puede permanecer puesto durante 7 a 10 días.
- Crioterapia focal: el tratamiento tradicional del cáncer de próstata está dirigido a toda la glándula porque al menos el 80 % de los hombres tienen pequeños tumores “satélites” en varios lugares de la próstata. En determinados pacientes en los cuales se puede identificar un tumor dominante o solitario, la crioterapia puede limitarse a esta única área. La terapia focal se utiliza más comúnmente para los hombres que desean minimizar la probabilidad de impotencia.
- Crioterapia de rescate: aunque la radiación de haz externo y la braquiterapia son altamente eficaces, algunos pacientes experimentarán la recidiva del cáncer después del tratamiento. Tanto la crioterapia primaria como la focal, descritas anteriormente, pueden utilizarse para tratar a los pacientes cuya recidiva del cáncer se limita a la próstata. Además del esfacelo uretral (descamación de células muertas), se podría producir incontinencia e impotencia después de la crioterapia. Una complicación muy poco frecuente es una fístula, un orificio que se desarrolla entre la uretra y el recto y que requiere cirugía reparadora. Estas complicaciones son más comunes para la crioterapia de rescate.
¿Quiénes cumplen con los requisitos de elegibilidad para la crioterapia?
El requerimiento más importante para la crioterapia es tener cáncer limitado a la próstata. Al igual que otras terapias locales (prostatectomía y radiación), la crioterapia funciona solo si el cáncer está contenido en su sitio delimitado. Los hombres con agrandamiento de próstata, que mide más de 70 a 90 gramos determinado por ultrasonido, pueden necesitar terapia hormonal para reducir la glándula antes del tratamiento.
Opciones terapéuticas para la enfermedad en etapa avanzada
Cuando la enfermedad se extiende, o metastatiza fuera de la región de la próstata, se suelen utilizan las siguientes terapias:
Terapia hormonal
La terapia hormonal es un tratamiento para el cáncer de próstata que disminuye el nivel de la hormona masculina, la testosterona, para retardar el crecimiento del tumor. Esto puede lograrse con medicamentos que hacen que las células que producen testosterona se detengan o con cirugía para extirpar los testículos, donde se produce la mayor cantidad de testosterona. Las terapias hormonales no pueden curar el cáncer de próstata avanzado pero pueden administrarse solas o en combinación con otras formas de tratamiento con la esperanza de mejorar la calidad de vida o de extender la supervivencia.
Se están realizando investigaciones sobre el valor y los efectos de las terapias hormonales. La forma más común de terapia hormonal utiliza los medicamentos conocidos como agonistas de hormona liberadora de la hormona luteinizante (LHRH, por sus siglas en inglés) o agonistas de LHRH. Los siguientes son ejemplos de estos medicamentos: triptorelina (Trelstar®), leuprolida (Lupron®, Eligard®, Vantas®) y goserelina (Zoladex®). El bloqueo de la testosterona retarda la velocidad de crecimiento del cáncer. Una clase diferente de medicamentos, los antiandrógenos como la flutamida (Eulexin®), bicalutamida (Casodex®) y nilutamida (Nilandron®), actúan evitando que el organismo y, por ende, las células cancerosas, utilicen la testosterona.
Una nueva clase de medicamentos llamados inhibidores de la biosíntesis de andrógenos son agentes orales que selectivamente bloquean la producción de hormonas de la glándula suprarrenal responsable del crecimiento del cáncer de próstata. El primer medicamento de esta clase es el acetato de abiraterona (Zytyga®). De manera similar, la FDA también aprobó recientemente la enzalutamida (Xtandi®), un antiandrógeno nuevo y más poderoso. Estos son medicamentos importantes que cambiaron el tratamiento de los hombres con cáncer de próstata avanzado. El momento de su uso varía y se individualiza de forma rutinaria según las necesidades del paciente. En la actualidad, sin embargo, estos agentes están restringidos a los hombres con enfermedad avanzada que ya no están respondiendo a la terapia hormonal o para aquellos que han recibido quimioterapia y necesitan tratamiento adicional.
¿Cuáles son los riesgos de la terapia hormonal?
Las terapias hormonales que disminuyen la testosterona están asociadas con muchos efectos secundarios entre los que se encuentran los siguientes: disminución de la libido, impotencia, sofocos, aumento de peso, sensibilidad y crecimiento de los senos, pérdida de masa muscular y ósea, y fatiga. La terapia hormonal está asociada con un aumento del riesgo de síndrome metabólico, diabetes, reducción del HDL (colesterol “bueno”) y enfermedad cardiovascular. Aunque es posible que las terapias hormonales puedan retrasar la muerte, no pueden evitarla. Con el tiempo, el cáncer de próstata avanzado puede volverse resistente a la terapia hormonal y este tipo de terapia ya no funciona. Cuando esto ocurre, los pacientes pueden recibir tratamientos adicionales aprobados por la FDA que han demostrado extender la supervivencia.
¿Cuáles son los beneficios de la terapia hormonal?
La terapia hormonal puede reducir los tumores, disminuyendo, de esta manera, los síntomas y el dolor, y posiblemente extendiendo la vida de los hombres con cáncer de próstata. También puede achicar la próstata y mejorar el resultado con radioterapia.
¿Cuándo se utiliza el tratamiento hormonal para el cáncer de próstata?
El tratamiento hormonal no cura el cáncer. El propósito de la terapia hormonal es, en primer lugar, demorar la progresión del cáncer, y en segundo lugar, aumentar la supervivencia y maximizar la calidad de vida. Si el paciente no responde al tratamiento hormonal inicial, el médico podría probar otros métodos hormonales antes de recomendar otra forma de tratamiento.
¿Quiénes son candidatos para recibir tratamiento hormonal?
El tratamiento hormonal a menudo se utiliza en los hombres que reciben radiación para la próstata. Los hombres cuya enfermedad se haya extendido a los huesos o a los nódulos linfáticos habitualmente reciben terapia hormonal. Los pacientes y sus médicos deben considerar los efectos sobre la calidad de vida, el costo del tratamiento y la eficacia y seguridad del tratamiento para cada individuo en particular.
Inmunoterapia
El fortalecimiento del sistema inmunitario de una persona para que sea más efectivo para matar las células cancerosas ha sido reconocido como una posible estrategia terapéutica para el cáncer de próstata. Sipuleucel-T (Provenge®) representa un compuesto inmunoterapéutico novedoso (elaborado con las propias células del paciente) diseñado para estimular la capacidad natural de las células inmunitarias que ya están en la sangre para atacar las células del cáncer de próstata de manera más efectiva y prolongar la supervivencia.
¿Cómo se elabora Sipuleucel-T?
A los pacientes se les realiza una extracción de sangre, y sus células dendríticas (fagocitos de nuestro organismo que buscan cuerpos extraños) se aíslan y se envían a un establecimiento central de procesamiento donde las células se cultivan y se tratan para que reconozcan al cáncer de próstata de manera más efectiva. Después de esto, el producto se devuelve al proveedor de atención médica donde se administra por vía intravenosa al paciente. La extracción de sangre, el procesamiento y la administración del tratamiento se realiza cada dos semanas, durante un total de tres infusiones.
¿Cuáles son los efectos secundarios?
Existen efectos secundarios mínimos con este tratamiento. Al margen del proceso de extracción de sangre, la administración de Sipuleucel-T (Provenge®) puede provocar fiebre, escalofríos, dolor muscular y dolor de cabeza. A diferencia de otras inmunoterapias, no existen inquietudes en cuanto a la autoinmunidad.
Quimioterapia
La quimioterapia implica el uso de medicamentos para matar las células cancerosas. La quimioterapia puede ser administrada por vía oral o inyectada en una vena. La quimioterapia es normalmente un tratamiento sistémico, lo que significa que el medicamento ingresa en el torrente sanguíneo, viaja a través del cuerpo y puede matar células cancerosas en cualquier lugar del organismo, incluida la próstata.
La quimioterapia se administra en ciclos de tratamiento seguidos por un período de recuperación. El tratamiento completo con quimioterapia generalmente dura entre tres y seis meses, dependiendo del tipo de medicamento administrado.
¿Cuándo se utiliza la quimioterapia?
Hasta hace poco tiempo, la quimioterapia se reservaba a pacientes con cáncer de próstata avanzado en los que la terapia hormonal ya no era efectiva. Un estudio realizado recientemente en los EE. UU. demostró un beneficio significativo para la supervivencia cuando la quimioterapia se administra desde un principio con la terapia hormonal a los hombres con enfermedad avanzada. Los pacientes que presentan metástasis distante deben analizar la necesidad de este método con el médico a cargo de su tratamiento. La quimioterapia se administra para que el cáncer se reduzca o desaparezca. Incluso aunque no se elimine el cáncer, se pueden aliviar los síntomas. La enfermedad metastásica puede presentarse al momento del diagnóstico o, en algunos casos, el cáncer puede retornar en una zona distante meses o años después del tratamiento inicial.
¿Cuáles son los efectos secundarios?
Debido a que la quimioterapia actúa para matar las células cancerosas que se dividen rápidamente, también mata otras células sanas que se dividen rápidamente en nuestro cuerpo, como las membranas que recubren la boca, el recubrimiento del tracto gastrointestinal, los folículos pilosos, y la médula ósea. Como resultado, los efectos secundarios de la quimioterapia se relacionan con estas áreas de células dañadas. La buena noticia es que las células no cancerosas dañadas serán remplazadas por células sanas, por lo que los efectos secundarios son solo temporales.
Los efectos secundarios específicos dependen del tipo y la cantidad de medicamentos administrados y la duración. Los efectos secundarios temporales más comunes de la quimioterapia son las náuseas y los vómitos, la pérdida de apetito, la pérdida del cabello, las llagas en la boca, y la diarrea.
Existen medicamentos disponibles para controlar ciertos efectos secundarios, como las náuseas y los vómitos o la diarrea. Aunque pueda llevar algún tiempo, los efectos secundarios relacionados con la quimioterapia se resolverán cuando la quimioterapia finalice.
Radionucleidos
La terapia con radionucleidos es el uso de isótopos radioactivos para matar las células cancerosas. Hasta hace un tiempo, se solían utilizar radioisótopos dirigidos a los huesos -estroncio 89 (89Sr), samario 153 lexidronam (153Sm)- para tratar a los hombres con cáncer de próstata con metástasis ósea dolorosa multifocal extensa. Si bien estos agentes producen cierta mejoría de los síntomas, no prolongan la supervivencia.
Recientemente, la FDA aprobó el radio 223 (Xofigo®), una partícula alfa que emite radiofármaco, para hombres con cáncer de próstata avanzado y metástasis ósea dolorosa en quienes la enfermedad ha progresado después de la terapia hormonal. Este tratamiento prolonga la supervivencia y permite demorar las complicaciones óseas causadas por el cáncer de próstata (llamadas eventos esqueléticos sintomáticos).
¿Cómo se administra el radio 223?
Si el oncólogo médico considera que los pacientes son candidatos para este tratamiento, un médico especializado en medicina nuclear administra radio 223 de manera intravenosa una vez al mes durante seis meses. El radio 223 se dirige al compartimento óseo solamente. Esta radiación es mortal para las células cancerosas de los huesos pero provoca un daño limitado a las células sanas cercanas. Durante el tratamiento con radio 223, los pacientes se realizan análisis de sangre y son evaluados por su oncólogo médico antes de cada administración.
¿Cuáles son los efectos secundarios?
El radio 223 puede ser absorbido por otros órganos que no sean los huesos, principalmente la médula ósea y el sistema digestivo, lo que puede causar efectos secundarios en aquellos tejidos sanos. El paciente puede presentar náuseas, vómitos, retención de líquidos en las piernas o los pies, y bajo recuento sanguíneo. A diferencia de otros radionucleidos, no existen restricciones con respecto al contacto con otras personas inmediatamente después de los tratamientos.
Los especialistas en cáncer de Cleveland Clinic se encuentran en Cleveland, en toda la región del norte de Ohio y en Florida. Conozca la lista completa de centros de atención del cáncer.
Contáctenos
Cleveland Clinic tiene representantes internacionales en todo el mundo para ayudarle a responder a sus preguntas y ayudarle a programar citas.
Nuestro departamento de Global Patient Services (GPS) también puede ayudarle con sus preguntas y citas. Para más información, contacte a una de nuestras oficinas:
- Citas Ohio +1.216.444.6404
- Citas Florida +1.954.659.5080
Segunda opinión
Ubicaciones de los Centros oncológicos
Los especialistas en cáncer de próstata de Cleveland Clinic se encuentran en Cleveland, regionalmente en todo el norte de Ohio y en Florida.
Motivos para elegirnos
A través de un enfoque multidisciplinario, los especialistas de Cleveland Clinic en el Taussig Cancer Institute trabajan con urólogos del Glickman Urological & Kidney Institute para explorar todas las opciones médicas y quirúrgicas a fin de garantizar que nuestro programa de tratamiento para el cáncer de próstata permita obtener un resultado satisfactorio para cada paciente.
Cleveland Clinic está considerado como uno de los mejores hospitales del país según la revista U.S. News & World Report. Muchos métodos terapéuticos para la próstata se iniciaron aquí, lo que nos proporciona una de las más vastas experiencias del mundo en lo que respecta al tratamiento del cáncer localizado utilizando métodos quirúrgicos y no quirúrgicos.